Les méfaits de la silice
Dr. L. PRIVET, association RAMAZZINI, janvier 2023
Le mot silice évoque la silicose, la maladie des mineurs de charbon, mais le problème est plus complexe. La silicose a provoqué une hécatombe. On estime le nombre de morts dus à la silicose dans les mines de charbon de 1946 à 1987 (fermeture de la dernière mine) à plus de 40 000, mais cette estimation est basse et ce chiffre est sans doute à multiplier par 2 ou par 3.
Elle reste une maladie actuelle car elle touche encore un certain nombre d’anciens mineurs, car ses effets se font sentir de nombreuses années après la fin de l’exposition. Mais cette maladie ne touche pas que les mineurs, un certain nombre d’autres secteurs professionnels sont aussi touchés.
Une maladie liée à l’activité humaine
Selon l’enquête SUMER faite en 2017 (la dernière en date), 365 000 salariés sont exposés à la silice dont la moitié dans le BTP. L’enquête SUMER fait régulièrement le point sur les expositions des salariés. Elle est faite par des médecins du travail et la dernière en date a concerné plus de 26 000 salariés, aussi bien les salariés des entreprises privées que des agents de la fonction publique.
La liste des travaux susceptibles de provoquer la maladie, répertoriée dans le tableau n°25, est longue. Sont concernés notamment « fabrication et manutention de produits abrasifs, de produits à nettoyer … », « travaux en fonderie …», « travaux de meulage, polissage, aiguisage effectués à sec au moyen de meules … », « travaux de construction, d’entretien et de démolition … ».
Dans un ouvrage paru récemment (« Cent ans de sous-reconnaissance des maladies professionnelles », C. CAVALIN et coll., éd. Presses des Mines, 2020) est relatée une « épidémie » de silicose chez les travailleurs de la pierre artificielle en Espagne.
La responsable de la silicose est la silice sous sa forme cristalline, le dioxyde de silicium organisée en réseau.
Le silicium est l’élément le plus abondant de la croûte terrestre après l’oxygène (26 %). Il est présent sous forme de composés comme la silice cristalline (notamment le quartz) dans de nombreuses roches.
Ce n’est donc pas étonnant que les activités humaines de plus en plus développées, et notamment les travaux dans les mines, aient mis en contact les êtres humains avec ce matériau.
Si la silicose a occupé le haut du pavé en matière de pathologie liée à la silice, les effets néfastes de la silice dépassent largement le poumon et ont été longtemps occultés. Il convient aujourd’hui de prendre en compte les autres pathologies.
Certaines sont prises en compte dans le tableau des maladies professionnelles n°25, mais d’autres sont encore ignorées par le système de reconnaissance des maladies professionnelles. Mais il existe des possibilités de reconnaissance en maladie professionnelle de maladies qui ne sont pas dans les tableaux dans le cadre du système complémentaire (maladies hors tableau).
La silicose
La silicose a été reconnue en maladie professionnelle en France en 1945 après une longue marche, et encore au début avec des restrictions, car il fallait après la guerre gagner « la bataille du charbon », alors qu’elle était reconnue en Afrique du Sud dès 1911.
A la première Conférence internationale sur la silicose à Johannesburg en 1930, les médecins français se ridiculisent en affirmant que la silicose était une complication de la tuberculose, exonérant les patrons des mines de faire de la prévention.
Ce sont les poussières les plus fines qui sont les plus dangereuses. Selon leur taille, les poussières inhalées vont se déposer tout le long de l’arbre trachéo-bronchique, mais seules les poussières fines, inférieures à 5 microns, vont arriver aux alvéoles pour y provoquer des dégâts.
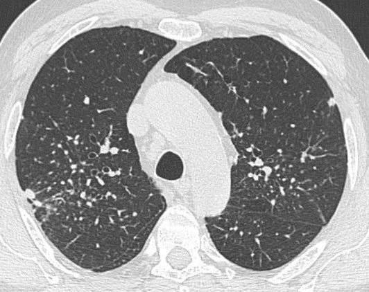
La silicose est une fibrose pulmonaire (comme l’asbestose liée à l’amiante) qui se présente sous forme de nodules fibro-hyalins (donc nettement différente de l’asbestose). Elle se caractérise au scanner par des lésions micronodulaires ou nodulaires dans le poumon. Les nodules peuvent confluer pour donner un aspect de pseudo-tumeurs.
Poumons
La silicose peut provoquer une insuffisance respiratoire chronique, dont on évalue l’importance et l’évolution à l’aide d’Epreuves Fonctionnelles Respiratoires (EFR). A terme le poumon est incapable d’apporter assez d’oxygène au sang, nécessitant alors une oxygénothérapie.
L’évolution est suivie par la pratique régulière de scanners associée à des EFR, cette démarche permettant de réévaluer si nécessaire le taux d’IPP (Incapacité permanente partielle).
Pour les salariés exposés à la silice, il convient que soient respectées les mesures de prévention (captage à la source des poussières, équipements respiratoires individuels …), dont l’efficacité est contrôlée par le respect des valeurs limites d’exposition professionnelle (VLEP). La VLEP sur 8 heures (quartz) est de 0,1 mg/m3.
Les autres pathologies inscrites au tableau n°25
Il s’agit tout d’abord du cancer broncho-pulmonaire primitif, cette éventualité devant appeler à la vigilance devant la détection d’un nodule au scanner (à ne pas confondre avec une pseudotumeur).
Le tableau n°25 prévoit, pour que le cancer du poumon soit pris en compte, qu’il doit être associé à des signes radiologiques ou des lésions de nature silicotique (par exemple dans les ganglions proches du poumon). Mais la silice a été classée comme cancérogène avéré pour l’homme pour le poumon (catégorie 1) par le CIRC (Centre international de recherche contre le cancer).
Il reste alors la possibilité de le faire reconnaître en maladie professionnelle, en l’absence de lésions de silicose, dans le cadre du système complémentaire avec soumission au CRRMP (Comité régional de reconnaissance des maladies professionnelles), en apportant la preuve d’un lien direct et essentiel avec le travail.
La polyarthrite rhumatoïde est une maladie auto-immune (l’organisme produit des anticorps contre ses propres tissus) qui survient surtout chez la femme assez jeune. Elle est fréquente. Elle débute au niveau des petites articulations des mains et des pieds de façon bilatérale et symétrique. Elle se manifeste au début par des douleurs nocturnes. Elle évolue par poussées avec des déformations et des destructions.
Polyarthrite rhumatoïde
Toute polyarthrite rhumatoïde chez un salarié ou un ex-salarié atteint de silicose ou de lésions de silicose doit faire l’objet d’une reconnaissance en maladie professionnelle dans le cadre d’un syndrome de Caplan-Collinet, avec prise en compte au niveau des séquelles (donc du taux d’IPP) aussi bien des lésions pulmonaires que des lésions rhumatismales.
Mais toute polyarthrite rhumatoïde liée à la silice, mais sans silicose, peut être reconnue en maladie professionnelle dans le cadre du système complémentaire.
Il ne faut pas confondre l’arthrite qui est une inflammation de la membrane synoviale de l’articulation avec l’arthrose qui consiste en une destruction du cartilage articulaire. De toute façon le diagnostic de polyarthrite rhumatoïde ne peut être posé qu’avec des tests sanguins spécifiques positifs.
La sclérodermie systémique progressive est également une maladie auto-immune qui touche le tissu conjonctif servant de soutien dans les différents organes. Il n’est donc pas étonnant que les symptômes liés à cette maladie soient variés.
On relève notamment les symptômes suivants : sclérose cutanée (impression de cartonnage) avec démangeaisons et vaisseaux sanguins dilatés, ulcérations et dans certains cas limitation de l’ouverture de la bouche ; syndrome de Raynaud ; atteinte de l’œsophage et notamment reflux gastro-œsophagien ; atteinte articulaire se traduisant par des douleurs ; atteinte du poumon (fibrose).
Le syndrome de Raynaud est un trouble de la circulation principalement au niveau des doigts qui deviennent blancs et insensibles, puis bleus et engourdis, épisode suivi d’une recoloration rouge des doigts avec une douleur intense. Le syndrome de Raynaud est souvent la première manifestation clinique à apparaître dans la sclérodermie systémique progressive, pouvant précéder de plusieurs années les autres symptômes.
Les maladies liées à la silice hors tableau
Pour la reconnaissance en maladie professionnelle, il y a la nécessité d’une démarche dans le système complémentaire avec soumission du dossier au CRRMP sous réserve de justifier d’un taux d’IPP prévisible d’au moins 25 %.
La sarcoïdose est un trouble du système immunitaire qui peut attaquer n’importe quel organe. Cependant ce sont les poumons qui sont le plus souvent touchés, ainsi que les ganglions lymphatiques (dans les 2/3 des cas), particulièrement ceux de la cage thoracique.
La lésion de base est appelée granulome (masse de cellules enflammées). Si ces granulomes sont accessibles à la biopsie, on peut faire alors le diagnostic par l’examen anatomo-pathologique.
La sarcoïdose n’est pas forcément une maladie grave, mais dans la mesure où elle peut toucher le poumon, il y a un risque d’interférence avec d’autres maladies pulmonaires professionnelles.
Le lupus érythémateux disséminé est une maladie auto-immune qui peut affecter de multiples organes, donc se manifester par de multiples symptômes. L’atteinte le plus caractéristique est une éruption cutanée sur le visage. Si l’atteinte articulaire est très fréquente, d’autres atteintes présentent un facteur de gravité non négligeable : reins, cœur.
Pour conclure, laissons la parole à RAMAZZINI qui en 1 700 préconisait devant toute maladie de s’enquérir du métier du malade.
 
            